Thermoablation (MWA/RFA/Lasertherapie)
Die Behandlung gliedert sich in folgende Schritte, exemplarisch anhand der Leber und der Lunge illustriert:
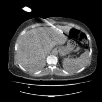
Nach Anfertigung von Planungsaufnahmen und Festlegung des Zugangsweges erfolgt die Hautdesinfektion und sterile Abdeckung des Punktionsfeldes. Unter örtlicher Betäubung des Punktionsweges und Gabe von schmerzlindernden Substanzen, erfolgt die Punktion des Tumors und Platzierung der Sonde unter sonographischer oder CT-/ MRT – Kontrolle im Zielvolumen.
Nun wird die Läsion mittels Mikrowellenablation, Hochfrequenzstrom oder Laser, je nach Therapieverfahren, erhitzt und in einem Intervall von 5 bis 30 min zerstört/verkocht. Es entsteht eine Nekrose. Das abgetötete Gewebe wird in den nächsten Monaten von körpereigenen Zellen abgebaut.
Im Anschluß wird der Patient noch einige Stunden überwacht und auf die Station zurück verlegt. Eine Entlassung kann bei komplikationslosem Verlauf bereits am 2.Tag nach dem Eingriff erfolgen.
Eine Kontrolle des Therapieerfolges erfolgt mit CT und/oder MRT und Blutkontrollen in 3-Monats Abständen. Dazu erhält der Patient (falls dies gewünscht ist) automatisch einen Termin über unsere Ambulanz.
...
Bilder: CT-gestützte Radiofrequenzablation einer Lungenmetastase (Pfeil, links), CT-gestützte Mikrowellenablation einer Lebermetastase (rechts).
